It continues to be quite a tumultuous year at BAC HQ. I have been putting off writing this update as I wanted to wait until the worst was over and write a positive post about healing and looking to the future. It feels like the universe has other plans.
I’ve had my fair share of mental and physical battles over the years and it took me a long time to learn and accept that happiness is a choice. I do my best to generally be positive and look forward but I have to say I am being tested.
I left you all back in the middle of May with a broken rib, just after completing our Scottish Adventure. Fortunately I bounced back pretty quickly and was back on my bike within a couple of weeks.
Ball Bustin’


On the 25th June I took part in a super friendly football match. 5 a side, just 15 minutes each match at Aston Villa Academy. It was organised by Pride House and featured LGBTQIA+ teams.
The first 2 games were great, very friendly, with all concerned being good natured and supportive. I volunteered to be in goal as I’m not a natural runner; I’m not a natural footballer either for that matter. I hadn’t played a game of football since I was 7 years old.
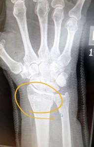
Unfortunately a particularly vicious shot at goal from a player, taking it all far too seriously, resulted in my dominant wrist being broken.
Five weeks in a cast was a real trial. Mentally more than anything. Physically I adapted quite well but not being able to ride my bike outside was hard. I am so grateful for everyone that came to see me, messaged and posted bicycle adventures online. It really helped me focus on the future knowing I’d be back on my bike soon.
I’ve also kept myself busy by volunteering at Pride House during the Commonwealth Games. Pride House provides a safe, inclusive space for LGBTIQ+ athletes, spectators, staff, volunteers & allies at the Birmingham 2022 Commonwealth Games.







Cast off
The cast was removed last week. I could feel something wasn’t right as I had lost the mobility in my thumb.
Today I had my first physiotherapy appointment. The break has healed well and I’ve already got a fair bit of movement back in my wrist and I can expect a full recovery.
Unfortunately the tendon in my thumb, the Extensor Pollicis Longus to be precise, has been severed at the site of the break and can only be fixed with surgery.
I am still processing this information. The thought of an operation under general anaesthetic is quite daunting as it is not something I have been through before. Part of me is glad it can be fixed, although it means another 6 weeks or so out of action – that’s the bit I’m not looking forward to. If I want my thumb back it has to be done.
The physiotherapist said I can’t do any more damage to the thumb so I can continue to build my strength back up in my wrist and use my hand so I will continue to work towards getting back on my bike until my surgery appointment comes though. Then deal with the next phase from there.
Forward Focus
I am sorry I can’t get out riding with you all and I ask for your patience and understanding whilst I recover. Please keep riding, adventuring and posting online. There are lots of non-riding things for me to do for the Bicycle Adventure Club.
We are still going to the Isle of Wight and we are really looking forward to it. I hope to be riding, even if just short routes and providing mechanical and vehicle support. I will put routes together for people and make sure you all have a super Bicycle Adventure.
I have also set up the Bicycle Adventure Club on Zwift. You can join here:
https://www.zwift.com/clubs/ca4d2d35-4590-460e-b852-00ee18ea313d/home
I’ll be setting up a few rides on zwift, especially over this winter.

Towards the end of the summer I will schedule some more workshops to get everyone prepped for adventures next year when hopefully I’ll be fully recovered and riding.
Thank you again for your patience and I will update you all soon.
